我院心内科8个小时成功抢救3名心梗患者
文章来源: 日期:2014-04-26
心脏有问题不可麻痹大意。急性胸痛的病人往往病情凶险,抢得时间就能挽救生命。今天,51黑料
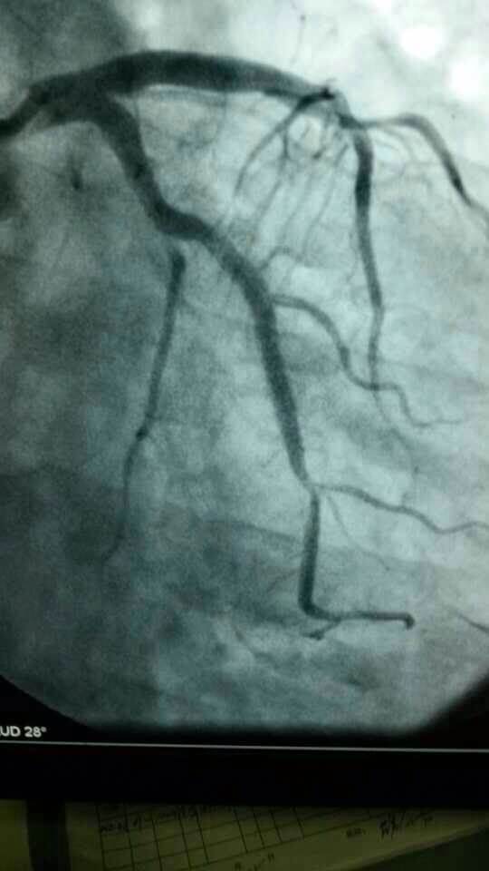
心内科医务人员在崔勇主任的带领下,蔡亚滨、林福根、雷建林、陈明辉、何晓、李仲伟等抢救团队连续奋战 8个小时成功抢救3名心梗患者。虽然工作艰辛,但接诊的三位病人都能转危为安,对医生来讲是最大的安慰。
专家提示:我国心血管病的发病率和死亡率常年居高不下,还出现明显年轻化趋势,白领、公务员等群体英年猝死的新闻屡见不鲜。在已经救治的近200例胸痛患者中,80%以上是急性冠状动脉综合征(这其中包含了心梗、不稳定心绞痛等)这类急性危险的病症,专家建议,40岁以上的人群,胸闷、胸痛突然发作,尤其是劳累后发作,或者一会儿痛一会儿不痛的要及时就诊。
